Diş Eti Hastalığı, Kanayan Diş Etleri ve Dişlerinizi Nasıl Kurtarırsınız

Diş Eti Hastalığı, Kanayan Diş Etleri ve Dişlerinizi Nasıl Kurtarırsınız

9 December Tue, 2025

Milim Dental Bursa'da bir ağız sağlığı uzmanı olarak, hastalarla sıkça karşılaşıyorum; kök kanal tedavisi ve dolgulardan, ağzın gerçek "sessiz katili" olan diş eti hastalığından daha çok korkuyorlar. Çürükler tekil dişlere zarar verirken, diş eti hastalığı tüm dişlerinizi yerinde tutan kemik ve dokuları yavaş yavaş yok edebilir.

Bu makale, diş eti hastalığının ne olduğunu, kötü nefes ve diş kaybı ile nasıl bağlantılı olduğunu ve gülüşünüzü korumak için evde ve klinikte neler yapabileceğinizi açıklar.

Uzman Doktorlarımızdan Ücretsiz Tedavi Planı Talep Edin

Diş Eti Hastalığı Nedir?

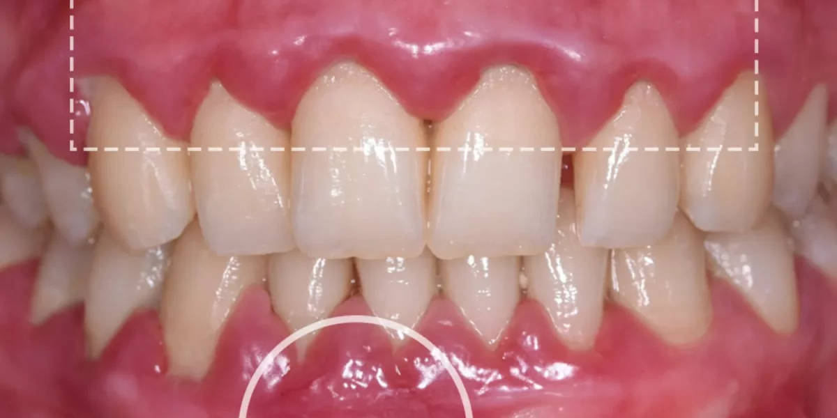
Diş eti hastalığı, diş etleri ve diş çizgisi çevresinde biriken diş plağı – yapışkan bir bakteri tabakası – ile başlar.

İki ana evresi vardır:

Gingivitis

Kırmızı, şişmiş diş etleri

Fırçalama veya diş ipi kullanırken kanama

Genellikle ağrı olmaz

Gingivitis, iyi temizlik ve profesyonel bakım ile geri döndürülebilir.

Periodontitis

Plak sertleşerek tartar (kalkülüs) oluşur

Diş etleri dişlerden ayrılır ve "cepler" oluşur

Dişlerin çevresindeki kemik yavaş yavaş kaybedilir

Dişler zamanla gevşeyebilir

Periodontitis tamamen iyileştirilemez ancak uygun tedavi ve bakım ile stabilize edilebilir.

Kanayan Diş Etleri Neden Bir Uyarı İşaretidir?

Bursa'da birçok kişi diş fırçasında kan görüp "Sanırım çok sert fırçalıyorum, orayı fırçalamayı bırakmalıyım." diye düşünüyor.

Gerçekte ise durum çoğunlukla tam tersidir:

Diş etleri, plak ve bakterilerin tahrişi nedeniyle kanar.

O bölgeyi fırçalamaktan kaçınmak, daha fazla plak birikmesine izin verir.

İltihap kötüleşir ve kanama artar.

Milim Dental Bursa'da, kanayan diş etlerinin vücudunuzun şu mesajını verdiğini açıklarız: "Lütfen beni daha iyi temizle ve profesyonel yardım al."

Diş Eti Hastalığı Dişlerinizi Nasıl Tehdit Eder?

İleri düzey diş eti hastalığı, dünya genelinde yetişkinlerde diş kaybının başlıca nedenlerindendir. Kemik kaybedildikçe dişler desteğini yitirir ve:

Hareket etmek veya yerinden kaymak

Çiğnerken hassasiyet veya ağrı yaşamak

Sonunda o kadar gevşer ki çekim tek seçenek olur

Hastalar sıklıkla çürüğü olmayan bir dişin, çevresindeki kemik kaybolduğu için çekilmesi gerektiğine şaşırır. Bu yüzden deriz ki:

Dolgu ve kanal tedavisi diş yapısını korur.

Diş eti tedavisi, dişleri yerinde tutan temeli korur.

Diş Eti Hastalıkları için Temel Tedaviler

Milim Dental Bursa'da diş eti tedavisi hastalığın evresine göre kişiselleştirilir:

Diş eti çizgisinin üzerindeki plak ve tartarı çıkarmak için profesyonel diş taşı temizliği ve cilalama.

Daha derin ceplerde kökleri temizlemek için lokal anestezi altında derin temizlik (kök planlaması).

Diş fırçası türü, ara yüz fırçası ve dil temizliği dahil detaylı ev bakımı talimatları.

Diş eti hastalığı çok ilerlemişse, periodontologlarla iş birliği yapabilir veya ek işlemler düşünebiliriz. Ancak temel her zaman titiz temizliktir – hem klinikte hem evde.

Diş Fırçaları, Diş Macunları ve Diş Eti Sağlığı

İltihaplı diş etleri için genellikle önerimiz:

Travmayı önlemek ama etkili temizlik sağlayan yumuşak veya ekstra yumuşak diş fırçası.

Çürük önleyici florlu diş macunu, bazen kısa sürelerle anti-inflamatuar veya antibakteriyel içeriklerle birlikte.

Ara yüz temizliği (diş ipi, ara yüz fırçaları veya su flossları) diş eti hastalığının genellikle başladığı diş aralarını erişmek için.

Bazı hastalar diş eti sağlığı için yağ çekme (oil pulling) hakkında sorar. Yağ çekme bazı kalıntıların çıkarılmasına yardımcı olabilir, ancak florlu diş macunu ile fırçalamanın veya profesyonel tedavinin yerini alamaz. Bunu isteğe bağlı, zorunlu olmayan bir yöntem olarak düşünün.

Diş Eti Hastalığı, Ağız Kokusu ve Dil Temizliği

Kronik ağız kokusu genellikle diş eti hastalığıyla ilişkilidir. Diş eti ceplerindeki ve dil üzerindeki bakteriler kötü kokulu uçucu kükürt bileşikleri üretir.

Milim Dental Bursa'daki standart tavsiyemiz şunları içerir:

Diş eti hastalığını profesyonel temizlikle tedavi etmek.

Günlük dil temizliği (dil kazıyıcı veya yumuşak fırça).

Çürükler, kuru ağız veya sinüs problemleri gibi diğer nedenler kontrol ediliyor.

Kanal Tedavisi, Dolgular ve Dişeti Hastalığı Olan Ağızlarda Beyazlatma

Diş beyazlatma gibi kozmetik işlemler öncesinde her zaman dişeti sağlığı kontrol edilir.

İltihaplı dişetlerinde beyazlatma hassasiyeti ve rahatsızlığı artırabilir.

Aktif enfeksiyonlu bölgelerde yapılan dolgular ve kanal tedavilerinin prognozu, dişeti hastalığı kontrol altına alınmazsa kötü olabilir.

Bu yüzden herhangi bir gülüş geliştirme planına genellikle tam bir dişeti ve ağız sağlığı değerlendirmesi ile başlanır, ardından derin çürükler veya kanal tedavisi gibi acil ihtiyaçlar ele alınır ve ancak sonra kozmetik işlemlere geçilir.

Dişlerinizi Korumaya Nasıl Yardımcı Olabilirsiniz

Diş etlerinizi ve dişlerinizi korumak için şunları yapabilirsiniz:

Günde iki kez yumuşak bir fırça ve florürlü diş macunu ile fırçalayın.

Günde bir kez diş aralarını temizleyin.

Bakteri ve kötü nefesi azaltmak için dilinizi nazikçe temizleyin.

Diş eti hastalığı için önemli bir risk faktörü olan sigaradan kaçının.

Kontroller ve profesyonel temizlik için yılda en az bir kez (veya önerilirse daha sık) Milim Dental Bursa’yı ziyaret edin.

Diş eti hastalığı yavaş ve sessiz bir süreçtir, ancak erken müdahale ile doğal dişlerinizi uzun yıllar koruyabilirsiniz. Profesyonel bakım ile basit günlük alışkanlıkları birleştirerek sadece gülüşünüzü değil, genel sağlığınızı da korursunuz.

Bir Milim
Büyük Fark Yaratır

Milim Dental Hastanesi, Türkiye Cumhuriyeti Sağlık Bakanlığı tarafından verilen "Sağlık Turizmi Yetki Belgesi" alan ilk diş merkezidir.
Tüm Makaleler
Güzel Bir Gülüş İçin Gereksinimler: Hollywood Smile
east

Estetik diş hekimliği, lekeli, dengesiz, şekilsiz veya renksiz dişlerin görünümünü iyileştirmek için tasarlanmış seçmeli diş prosedürlerini içerir; bu da size hak ettiğiniz güzel gülüşü elde etmenize yardımcı olur. Estetik diş tedavileri ile dişlerinizin görünümünü artırabilir ve ihtiyaçlarınıza en uygun tedaviye ulaşabilirsiniz.

Üst Çene Kemiği Yetmezliği ve Sinüs Lifting Ameliyatı Nedir?
east

Diş implantları için üst çenenizde yeterli kemik olmadığını size söylediler mi? Üst çene kemiği yetmezliğinin ne olduğunu ve Sinüs Lifting Ameliyatı (Sinüs Artırımı) ile başarılı implant yerleştirme için gerekli temel nasıl oluşturulduğunu öğrenin.

Hollywood Smile Ne Kadar Süre Kalır ve Nasıl Korunur?
east

Hollywood Smile'ınızın parlaklığını korumak için düzenli diş kontrolleri, iyi ağız hijyeni ve leke yapıcı alışkanlıklardan kaçınmak çok önemlidir. Gülüşünüzü yıllarca korumak için bu adımları izleyin: dişlerinizi koruyun, rötuş randevuları alın ve profesyonel bakım ile kalıcı güzellik sağlayın.

Neden Hastalar
Milim’i Seçiyor?

Milim Diş Hastanesi sadece bir klinik değil—kendinden emin gülüşlerin başladığı yerdir. Dünya standartlarında uzmanlardan oluşan bir ekip, gelişmiş teknoloji ve hasta odaklı yaklaşımımızla, diş bakımını premium bir deneyime dönüştürüyoruz.
Hijyen, konfor ve tamamen size özel tedavi yöntemlerine öncelik veriyoruz. Sadece bizim sözümüze güvenmeyin—gerçek hastalardan gerçek hikayeleri keşfedin.
Mükemmel gülüşünüz burada başlıyor. Milim deneyimine katılın.

Tüm Deneyimleri Gör
play_arrow
Dr. Dt. İsmail Özkısaoğlu Diş Hekimi
Ücretsiz Danışmanlık Alın
play_arrow
Dr. Dt. Ali Direnç Ulaşan Ağız, Diş, Çene Cerrahisi Uzmanı
Ücretsiz Danışmanlık Alın
play_arrow
Dr. Dt. Ali Direnç Ulaşan Ağız, Diş, Çene Cerrahisi Uzmanı
Ücretsiz Danışmanlık Alın

Milim Dental Hospital, Ağız ve Maksillofasiyal Cerrahi, Prostodonti, Ortodonti, Pedodonti ve Periodontoloji uzmanlarının da yer aldığı geniş bir diş hekimi ekibiyle desteklenen, 1.000 m² alana sahip geniş bir tesiste kapsamlı diş hizmetleri sunmaktadır.

Klinikimiz, Uluslararası Sağlık Turizmi için Türkiye Sağlık Bakanlığı tarafından yetkilendirilmiştir. Bu web sitesi yalnızca yurt dışından gelen hastaları bilgilendirmek amacıyla hazırlanmıştır. Reklam içermez ve yasal gizlilik düzenlemelerine uygundur.
Milim Dental Hospital © 2025 - Tüm hakları saklıdır.